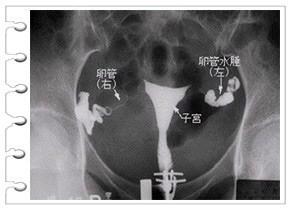
图为子宫输卵管碘油造影示图,行造影术的禁忌证是 ( )A、碘过敏者B、A+B+C+DC、妊娠期、月经期D、产后、流产后、刮...

作者: rantiku 人气: - 评论: 0
问题 图为子宫输卵管碘油造影示图,行造影术的禁忌证是 ( )
选项 A、碘过敏者 B、A+B+C+D C、妊娠期、月经期 D、产后、流产后、刮宫术后6周内 E、内外生殖器急性或亚急性炎症
答案 B
解析

猜你喜欢

发表评论
更多 网友评论0 条评论)
暂无评论

访问排行

Copyright © 2012-2014 恰考网 Inc. 保留所有权利。 Powered by tikuer.com

页面耗时0.0314秒, 内存占用1.03 MB, Cache:redis,访问数据库19次