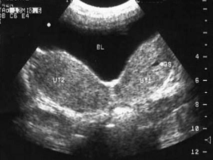
超声检查如图,较完整的诊断是 ( )A、子宫发育不良B、宫腔积液C、双子宫D、双子宫并一侧妊娠E、双角子宫

作者: rantiku 人气: - 评论: 0
问题 超声检查如图,较完整的诊断是 ( )
选项 A、子宫发育不良 B、宫腔积液 C、双子宫 D、双子宫并一侧妊娠 E、双角子宫
答案 D
解析

猜你喜欢

发表评论
更多 网友评论0 条评论)
暂无评论

访问排行

Copyright © 2012-2014 恰考网 Inc. 保留所有权利。 Powered by tikuer.com

页面耗时0.0609秒, 内存占用1.02 MB, Cache:redis,访问数据库14次