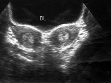
盆腔超声检查如图,最可能的诊断是 ( )A、畸胎瘤B、正常声像图C、双子宫D、双角子宫E、幼稚子宫

作者: rantiku 人气: - 评论: 0
问题 盆腔超声检查如图,最可能的诊断是 ( )
选项 A、畸胎瘤 B、正常声像图 C、双子宫 D、双角子宫 E、幼稚子宫
答案 C
解析

猜你喜欢

发表评论
更多 网友评论0 条评论)
暂无评论

访问排行

Copyright © 2012-2014 恰考网 Inc. 保留所有权利。 Powered by tikuer.com

页面耗时0.0366秒, 内存占用1.03 MB, Cache:redis,访问数据库18次