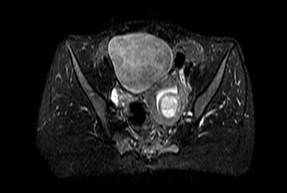
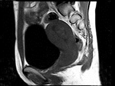
35岁女性患者,曾行剖宫产手术,有痛经史5年,近来加重,行MRI检查,如图所示,请选择正确的答案 ( )A、卵巢表皮样囊肿B、...

作者: rantiku 人气: - 评论: 0
问题 35岁女性患者,曾行剖宫产手术,有痛经史5年,近来加重,行MRI检查,如图所示,请选择正确的答案 ( )
选项 A、卵巢表皮样囊肿 B、卵巢粘液性囊肿 C、子宫颈癌 D、卵巢囊肿 E、子宫内膜异位症
答案 E
解析

猜你喜欢

发表评论
更多 网友评论0 条评论)
暂无评论

访问排行

Copyright © 2012-2014 恰考网 Inc. 保留所有权利。 Powered by tikuer.com

页面耗时0.0298秒, 内存占用1.03 MB, Cache:redis,访问数据库18次