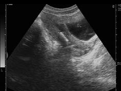
女性,27岁,上环3月,月经量多,超声检查见图,最可能的诊断是 ( )A、节育器下移B、节育器嵌顿C、盆腔炎D、子宫内膜炎E、宫颈炎

作者: rantiku 人气: - 评论: 0
问题 女性,27岁,上环3月,月经量多,超声检查见图,最可能的诊断是 ( )
选项 A、节育器下移 B、节育器嵌顿 C、盆腔炎 D、子宫内膜炎 E、宫颈炎
答案 A
解析

猜你喜欢

发表评论
更多 网友评论0 条评论)
暂无评论

访问排行

Copyright © 2012-2014 恰考网 Inc. 保留所有权利。 Powered by tikuer.com

页面耗时0.0735秒, 内存占用1.02 MB, Cache:redis,访问数据库13次