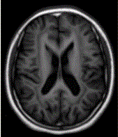
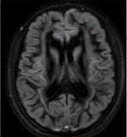
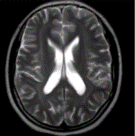
女性,21岁,部分性癫痫,MR表现如下图,可能的诊断是A.神经纤维瘤病I型B.神经纤维瘤病II型C.结节性硬化D.带状型灰质异位E.颜...

作者: rantiku 人气: - 评论: 0
问题 女性,21岁,部分性癫痫,MR表现如下图,可能的诊断是
选项 A.神经纤维瘤病I型 B.神经纤维瘤病II型 C.结节性硬化 D.带状型灰质异位 E.颜面血管瘤综合征
答案 D
解析

猜你喜欢

发表评论
更多 网友评论0 条评论)
暂无评论
错误啦!

错误信息

  • 消息: [程序异常] : MISCONF Redis is configured to save RDB snapshots, but it's currently unable to persist to disk. Commands that may modify the data set are disabled, because this instance is configured to report errors during writes if RDB snapshotting fails (stop-writes-on-bgsave-error option). Please check the Redis logs for details about the RDB error.
  • 文件: /twcms/kongphp/cache/cache_redis.class.php
  • 位置: 第 85 行
    <?php echo 'KongPHP, Road to Jane.'; ?>