患者男,20岁,头痛、步态不稳。MRI显示如下图。下图影像学表现可诊断为A.神经纤维瘤病Ⅱ型B.神经纤维瘤病Ⅰ型C.多发脑膜瘤D.多发...

作者: rantiku 人气: - 评论: 0
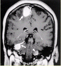
问题 患者男,20岁,头痛、步态不稳。MRI显示如下图。 下图影像学表现可诊断为
选项 A.神经纤维瘤病Ⅱ型 B.神经纤维瘤病Ⅰ型 C.多发脑膜瘤 D.多发神经鞘瘤 E.多发脑转移瘤
答案 A
解析

猜你喜欢

发表评论
更多 网友评论0 条评论)
暂无评论

Copyright © 2012-2014 恰考网 Inc. 保留所有权利。 Powered by tikuer.com

页面耗时0.1175秒, 内存占用1.03 MB, Cache:redis,访问数据库19次