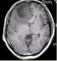
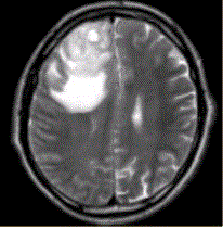
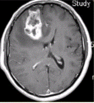
患者女,67岁,头痛伴呕吐1周。既往体健。MR表现如下图。胶质瘤术后放疗后复发与放射性坏死的鉴别手段是A.T2*B.PWIC.DWID.G...

作者: rantiku 人气: - 评论: 0
问题 患者女,67岁,头痛伴呕吐1周。既往体健。MR表现如下图。 胶质瘤术后放疗后复发与放射性坏死的鉴别手段是
选项 A.T2* B.PWI C.DWI D.Gd-MRI E.FLAIR
答案 B
解析

猜你喜欢

发表评论
更多 网友评论0 条评论)
暂无评论

Copyright © 2012-2014 恰考网 Inc. 保留所有权利。 Powered by tikuer.com

页面耗时0.0556秒, 内存占用1.03 MB, Cache:redis,访问数据库20次