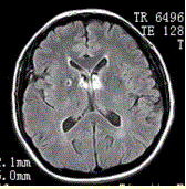
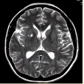
男性,55岁。临床偶尔头晕,无高血压,糖尿病病史。MRI显示如下图。关于血管周围间隙,描述错误的是A.单层或多层柔脑膜包绕B.邻近脑实质可见胶质增...

作者: rantiku 人气: - 评论: 0
问题 男性,55岁。临床偶尔头晕,无高血压,糖尿病病史。MRI显示如下图。 关于血管周围间隙,描述错误的是
选项 A.单层或多层柔脑膜包绕 B.邻近脑实质可见胶质增生 C.临床无症状 D.3T常见,各个年龄均可见 E.位于基底节区(前联合附近),其他常见位置:中脑,白质深部
答案 B
解析

猜你喜欢

发表评论
更多 网友评论0 条评论)
暂无评论

Copyright © 2012-2014 恰考网 Inc. 保留所有权利。 Powered by tikuer.com

页面耗时0.0417秒, 内存占用1.03 MB, Cache:redis,访问数据库13次