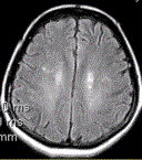
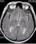
患者女,48岁。渐进性肢体无力半年。MRI所示如下图。根据脊髓和头部MRI表现,病变应诊断为A.多发脑缺血B.多发性硬化C.脑白质稀疏...

作者: rantiku 人气: - 评论: 0
问题 患者女,48岁。渐进性肢体无力半年。MRI所示如下图。 根据脊髓和头部MRI表现,病变应诊断为
选项 A.多发脑缺血 B.多发性硬化 C.脑白质稀疏 D.脑萎缩 E.脑炎 F.脑白质病变
答案 B
解析 B

猜你喜欢

发表评论
更多 网友评论0 条评论)
暂无评论

Copyright © 2012-2014 恰考网 Inc. 保留所有权利。 Powered by tikuer.com

页面耗时0.0336秒, 内存占用1.03 MB, Cache:redis,访问数据库18次