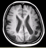
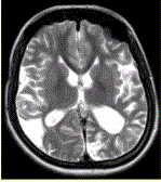
女性,22岁。癫痫发作及智力异常。MRI显示见下图。该病的诊断为A.海绵状血管瘤B.发育性静脉畸形C.AVMD.毛细血管扩张症...

作者: rantiku 人气: - 评论: 0
问题 女性,22岁。癫痫发作及智力异常。MRI显示见下图。 该病的诊断为
选项 A.海绵状血管瘤 B.发育性静脉畸形 C.AVM D.毛细血管扩张症 E.动脉瘤 F.硬脑膜动静脉漏 G.moyamoya
答案 G
解析 G

猜你喜欢

发表评论
更多 网友评论0 条评论)
暂无评论

Copyright © 2012-2014 恰考网 Inc. 保留所有权利。 Powered by tikuer.com

页面耗时0.0347秒, 内存占用1.03 MB, Cache:redis,访问数据库19次