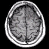
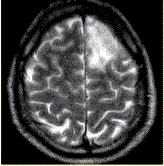
患者男,37岁。癫痫发作数次。MRI显示如下图。关于MRI表现的描述正确的是A.左侧额叶肿块,边界清晰B.左侧额叶肿块,边界不清C...

作者: rantiku 人气: - 评论: 0
问题 患者男,37岁。癫痫发作数次。MRI显示如下图。 关于MRI表现的描述正确的是
选项 A.左侧额叶肿块,边界清晰 B.左侧额叶肿块,边界不清 C.病变邻近脑沟消失,同时累及灰白质 D.病变无明显强化 E.病变累及灰质,皮层下白质正常 F.病变呈楔形
答案 BCDF
解析 BCDF

猜你喜欢

发表评论
更多 网友评论0 条评论)
暂无评论

Copyright © 2012-2014 恰考网 Inc. 保留所有权利。 Powered by tikuer.com

页面耗时0.0313秒, 内存占用1.03 MB, Cache:redis,访问数据库18次