男性,80岁,左耳听力下降伴头晕半年。头CT显示如下图。需与海绵状血管瘤鉴别的病变包括A.弥漫性轴索损伤B.高血压性微出血C.血管淀粉样变...

作者: rantiku 人气: - 评论: 0
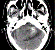
问题 男性,80岁,左耳听力下降伴头晕半年。头CT显示如下图。 需与海绵状血管瘤鉴别的病变包括
选项 A.弥漫性轴索损伤 B.高血压性微出血 C.血管淀粉样变 D.毛细血管扩张症 E.AVM F.成胶质细胞瘤伴出血 G.钙化性肿瘤,如少枝胶质细胞瘤
答案 ABCDEFG
解析 ABCDEFG

猜你喜欢

发表评论
更多 网友评论0 条评论)
暂无评论

Copyright © 2012-2014 恰考网 Inc. 保留所有权利。 Powered by tikuer.com

页面耗时0.0364秒, 内存占用1.03 MB, Cache:redis,访问数据库19次