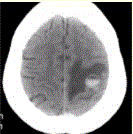
患者女,55岁,右侧肢体无力3d。头颅CT显示如下图。可能的诊断为(提示为进一步明确诊断,头颅CTA及CT灌注如下图(CBV未见血流量升高,CTA...

作者: rantiku 人气: - 评论: 0
问题 患者女,55岁,右侧肢体无力3d。头颅CT显示如下图。 可能的诊断为(提示为进一步明确诊断,头颅CTA及CT灌注如下图(CBV未见血流量升高,CTA未见异常供血动脉)。
选项 A.急性脑血肿 B.转移瘤伴出血 C.胶质瘤伴出血 D.少枝胶质细胞瘤伴出血 E.血液系统病变伴脑出血 F.脑脓肿 G.血管畸形伴出血
答案 ABE
解析 ABE

猜你喜欢

发表评论
更多 网友评论0 条评论)
暂无评论

Copyright © 2012-2014 恰考网 Inc. 保留所有权利。 Powered by tikuer.com

页面耗时0.0318秒, 内存占用1.03 MB, Cache:redis,访问数据库19次