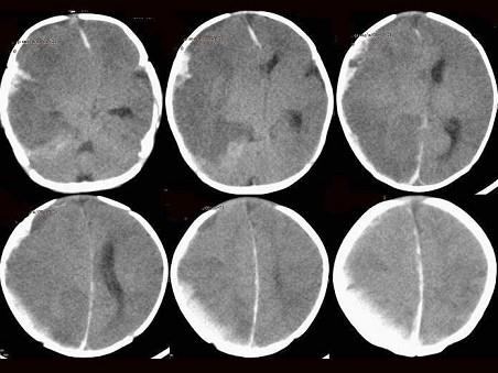
女,2个月。患儿发烧、面黄、哭闹、精神差1周,双目直视。影像学检查如图,最可能的诊断为?(?)A.脑梗塞B.脑水肿C.VitK缺乏颅内出血...

作者: rantiku 人气: - 评论: 0
问题 女,2个月。患儿发烧、面黄、哭闹、精神差1周,双目直视。影像学检查如图,最可能的诊断为?(?)
选项 A.脑梗塞 B.脑水肿 C.VitK缺乏颅内出血 D.血管畸形 E.先天性大脑发育不良
答案 C
解析

猜你喜欢

发表评论
更多 网友评论0 条评论)
暂无评论

Copyright © 2012-2014 恰考网 Inc. 保留所有权利。 Powered by tikuer.com

页面耗时0.0384秒, 内存占用1.03 MB, Cache:redis,访问数据库19次