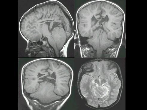
男,3岁,根据所示图像,最可能的诊断?(?)A.脑室畸形B.小脑畸形C.脑干畸形D.Chiari畸形E.Dandy-Walker综合征

作者: rantiku 人气: - 评论: 0
问题 男,3岁,根据所示图像,最可能的诊断?(?)
选项 A.脑室畸形 B.小脑畸形 C.脑干畸形 D.Chiari畸形 E.Dandy-Walker综合征
答案 D
解析

猜你喜欢

发表评论
更多 网友评论0 条评论)
暂无评论

Copyright © 2012-2014 恰考网 Inc. 保留所有权利。 Powered by tikuer.com

页面耗时0.0419秒, 内存占用1.03 MB, Cache:redis,访问数据库14次