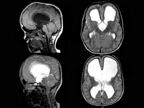
女,10岁。头颅进行性异常增大,与身体不成比例。MRI检查如图,最可能的诊断为?(?)A.先天性中脑导水管狭窄B.小脑扁桃体下疝C.第四脑室中...

作者: rantiku 人气: - 评论: 0
问题 女,10岁。头颅进行性异常增大,与身体不成比例。MRI检查如图,最可能的诊断为?(?)
选项 A.先天性中脑导水管狭窄 B.小脑扁桃体下疝 C.第四脑室中孔闭锁 D.第四脑室侧孔闭锁 E.先天性中脑导水管闭塞
答案 E
解析

猜你喜欢

发表评论
更多 网友评论0 条评论)
暂无评论

Copyright © 2012-2014 恰考网 Inc. 保留所有权利。 Powered by tikuer.com

页面耗时0.0316秒, 内存占用1.03 MB, Cache:redis,访问数据库17次