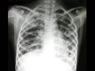
男,5岁,高热、畏寒、咳嗽、胸痛1周,如图所示,最可能的诊断为?(?)A.先天性肺囊肿B.继发型肺结核C.支原体肺炎D.过敏性肺炎E....

作者: rantiku 人气: - 评论: 0
问题 男,5岁,高热、畏寒、咳嗽、胸痛1周,如图所示,最可能的诊断为?(?)
选项 A.先天性肺囊肿 B.继发型肺结核 C.支原体肺炎 D.过敏性肺炎 E.金葡菌肺炎
答案 E
解析

猜你喜欢

发表评论
更多 网友评论0 条评论)
暂无评论

Copyright © 2012-2014 恰考网 Inc. 保留所有权利。 Powered by tikuer.com

页面耗时0.0418秒, 内存占用1.03 MB, Cache:redis,访问数据库19次