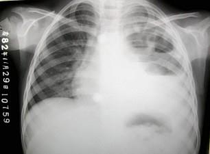
女,8岁,寒战、高热一周,如图所示,最可能的诊断为?(?)A.左侧肺不张B.左侧胸腔积液C.左侧多发性肺脓肿D.左心室增大E.以上都不正确

作者: rantiku 人气: - 评论: 0
问题 女,8岁,寒战、高热一周,如图所示,最可能的诊断为?(?)
选项 A.左侧肺不张 B.左侧胸腔积液 C.左侧多发性肺脓肿 D.左心室增大 E.以上都不正确
答案 C
解析

猜你喜欢

发表评论
更多 网友评论0 条评论)
暂无评论

Copyright © 2012-2014 恰考网 Inc. 保留所有权利。 Powered by tikuer.com

页面耗时0.0422秒, 内存占用1.03 MB, Cache:redis,访问数据库19次