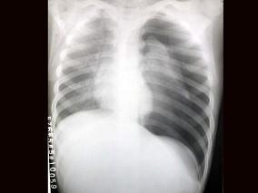
患者,男,3岁,突发左侧胸痛伴呼吸困难3小时入院,如图所示,最可能的诊断为?(?)A.左侧肺气肿B.左侧气胸C.左肺门淋巴结结核D.右肺小...

作者: rantiku 人气: - 评论: 0
问题 患者,男,3岁,突发左侧胸痛伴呼吸困难3小时入院,如图所示,最可能的诊断为?(?)
选项 A.左侧肺气肿 B.左侧气胸 C.左肺门淋巴结结核 D.右肺小叶性肺炎 E.以上都不正确
答案 B
解析

猜你喜欢

发表评论
更多 网友评论0 条评论)
暂无评论

Copyright © 2012-2014 恰考网 Inc. 保留所有权利。 Powered by tikuer.com

页面耗时0.0419秒, 内存占用1.03 MB, Cache:redis,访问数据库20次