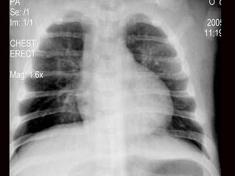
女,1岁半,发热伴咳嗽5天,如图所示,最可能的诊断为?(?)A.支气管炎B.肺门结核C.支气管肺炎D.肺隔离症E.以上均不正确

作者: rantiku 人气: - 评论: 0
问题 女,1岁半,发热伴咳嗽5天,如图所示,最可能的诊断为?(?)
选项 A.支气管炎 B.肺门结核 C.支气管肺炎 D.肺隔离症 E.以上均不正确
答案 C
解析

猜你喜欢

发表评论
更多 网友评论0 条评论)
暂无评论

Copyright © 2012-2014 恰考网 Inc. 保留所有权利。 Powered by tikuer.com

页面耗时0.0530秒, 内存占用1.03 MB, Cache:redis,访问数据库20次