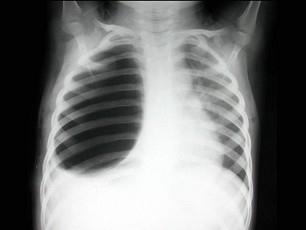
女,9岁,呼吸困难半月余,结合图像,最可能的诊断是?(?)A.气胸B.胸腔积液C.肺大泡D.液气胸E.肺气肿

作者: rantiku 人气: - 评论: 0
问题 女,9岁,呼吸困难半月余,结合图像,最可能的诊断是?(?)
选项 A.气胸 B.胸腔积液 C.肺大泡 D.液气胸 E.肺气肿
答案 C
解析

猜你喜欢

发表评论
更多 网友评论0 条评论)
暂无评论

Copyright © 2012-2014 恰考网 Inc. 保留所有权利。 Powered by tikuer.com

页面耗时0.0303秒, 内存占用1.03 MB, Cache:redis,访问数据库18次