男2岁,左侧胸痛、气促,如图所示,最可能的诊断为?(?)A.左肺肺不张B.左侧胸腔积液C.左侧胸膜肥厚D.右肺肺气肿E.以上都不正确

作者: rantiku 人气: - 评论: 0
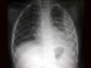
问题 男2岁,左侧胸痛、气促,如图所示,最可能的诊断为?(?)
选项 A.左肺肺不张 B.左侧胸腔积液 C.左侧胸膜肥厚 D.右肺肺气肿 E.以上都不正确
答案 B
解析

猜你喜欢

发表评论
更多 网友评论0 条评论)
暂无评论

Copyright © 2012-2014 恰考网 Inc. 保留所有权利。 Powered by tikuer.com

页面耗时0.0684秒, 内存占用1.03 MB, Cache:redis,访问数据库19次