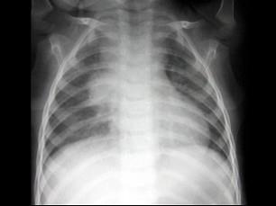
男,5岁,低热,盗汗,咳嗽2月余,结合图像,最可能的诊断是?(?)A.肺癌B.大叶性肺炎C.支气管肺炎D.肺结核E.过敏性肺炎

作者: rantiku 人气: - 评论: 0
问题 男,5岁,低热,盗汗,咳嗽2月余,结合图像,最可能的诊断是?(?)
选项 A.肺癌 B.大叶性肺炎 C.支气管肺炎 D.肺结核 E.过敏性肺炎
答案 D
解析

猜你喜欢

发表评论
更多 网友评论0 条评论)
暂无评论

Copyright © 2012-2014 恰考网 Inc. 保留所有权利。 Powered by tikuer.com

页面耗时0.0324秒, 内存占用1.03 MB, Cache:redis,访问数据库19次