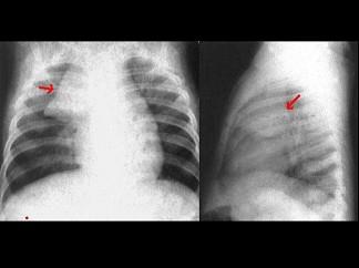
男性,10岁。胸闷、气短,呼吸困难。X线检查如图,最可能的诊断为?(?)A.心包炎B.心包积液C.先天性ASDD.先天性VSDE.心肌炎

作者: rantiku 人气: - 评论: 0
问题 男性,10岁。胸闷、气短,呼吸困难。X线检查如图,最可能的诊断为?(?)
选项 A.心包炎 B.心包积液 C.先天性ASD D.先天性VSD E.心肌炎
答案 B
解析

猜你喜欢

发表评论
更多 网友评论0 条评论)
暂无评论

Copyright © 2012-2014 恰考网 Inc. 保留所有权利。 Powered by tikuer.com

页面耗时0.0328秒, 内存占用1.03 MB, Cache:redis,访问数据库19次