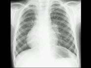
男,12岁,平时无明显不适,结合图像,最可能的诊断是?(?)A.正常胸片B.左旋心C.右旋心D.镜面右位心E.以上都不是

作者: rantiku 人气: - 评论: 0
问题 男,12岁,平时无明显不适,结合图像,最可能的诊断是?(?)
选项 A.正常胸片 B.左旋心 C.右旋心 D.镜面右位心 E.以上都不是
答案 C
解析

猜你喜欢

发表评论
更多 网友评论0 条评论)
暂无评论

Copyright © 2012-2014 恰考网 Inc. 保留所有权利。 Powered by tikuer.com

页面耗时0.0355秒, 内存占用1.03 MB, Cache:redis,访问数据库18次