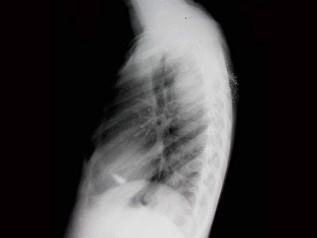
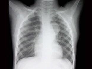
女,4岁,根据影像图像,最可能的诊断是?(?)A.肺癌B.胸骨后甲状腺肿C.胸腺瘤D.神经源性肿瘤E.淋巴瘤

作者: rantiku 人气: - 评论: 0
问题 女,4岁,根据影像图像,最可能的诊断是?(?)
选项 A.肺癌 B.胸骨后甲状腺肿 C.胸腺瘤 D.神经源性肿瘤 E.淋巴瘤
答案 D
解析

猜你喜欢

发表评论
更多 网友评论0 条评论)
暂无评论

Copyright © 2012-2014 恰考网 Inc. 保留所有权利。 Powered by tikuer.com

页面耗时0.0367秒, 内存占用1.03 MB, Cache:redis,访问数据库18次