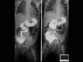
女婴,出现持续性呕吐,腹胀,如图所示,最可能的诊断为?(?)A.肠梗阻B.肠扭转C.肠闭锁D.肠旋转不良E.肠穿孔

作者: rantiku 人气: - 评论: 0
问题 女婴,出现持续性呕吐,腹胀,如图所示,最可能的诊断为?(?)
选项 A.肠梗阻 B.肠扭转 C.肠闭锁 D.肠旋转不良 E.肠穿孔
答案 D
解析

猜你喜欢

发表评论
更多 网友评论0 条评论)
暂无评论

Copyright © 2012-2014 恰考网 Inc. 保留所有权利。 Powered by tikuer.com

页面耗时0.0645秒, 内存占用1.03 MB, Cache:redis,访问数据库20次