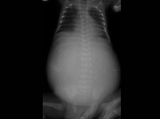
女婴,7月。经常呕吐,腹部饱满、膨隆,消瘦。如图所示,最可能的诊断为?(?)A.消化道闭锁B.十二指肠闭锁C.消化道穿孔D.肠套叠E.肠扭转

作者: rantiku 人气: - 评论: 0
问题 女婴,7月。经常呕吐,腹部饱满、膨隆,消瘦。如图所示,最可能的诊断为?(?)
选项 A.消化道闭锁 B.十二指肠闭锁 C.消化道穿孔 D.肠套叠 E.肠扭转
答案 A
解析

猜你喜欢

发表评论
更多 网友评论0 条评论)
暂无评论

Copyright © 2012-2014 恰考网 Inc. 保留所有权利。 Powered by tikuer.com

页面耗时0.0314秒, 内存占用1.03 MB, Cache:redis,访问数据库19次