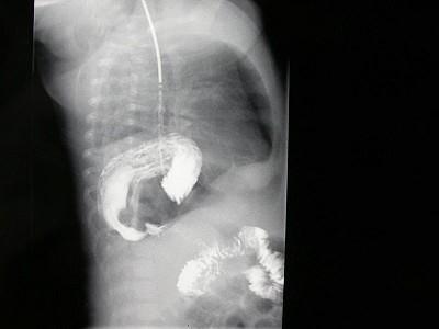
女,1岁,反复呕吐伴中度营养不良,结合影像,最可能的诊断为?(?)A.肺脓疡B.膈疝C.食道裂孔疝D.包裹性液气胸E.胃扭转

作者: rantiku 人气: - 评论: 0
问题 女,1岁,反复呕吐伴中度营养不良,结合影像,最可能的诊断为?(?)
选项 A.肺脓疡 B.膈疝 C.食道裂孔疝 D.包裹性液气胸 E.胃扭转
答案 C
解析

猜你喜欢

发表评论
更多 网友评论0 条评论)
暂无评论

Copyright © 2012-2014 恰考网 Inc. 保留所有权利。 Powered by tikuer.com

页面耗时0.0318秒, 内存占用1.03 MB, Cache:redis,访问数据库20次