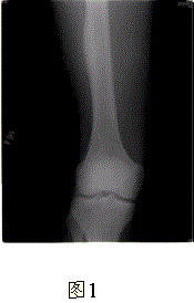
患者男,17岁,右大腿外侧间歇性疼痛逐渐加重近3个月,夜间为重,X线片及CT示右股骨干下段外侧骨皮质梭形增厚硬化,增厚的骨皮质中心隐约可见小圆形低密度灶,...

作者: rantiku 人气: - 评论: 0
问题 患者男,17岁,右大腿外侧间歇性疼痛逐渐加重近3个月,夜间为重,X线片及CT示右股骨干下段外侧骨皮质梭形增厚硬化,增厚的骨皮质中心隐约可见小圆形低密度灶,骨髓腔未闭合,无外伤史(图1、2)。 最可能的诊断是
选项 A.成骨细胞瘤 B.骨软骨瘤 C.骨样骨瘤 D.骨肉瘤 E.非骨化性纤维瘤
答案 C
解析

猜你喜欢

发表评论
更多 网友评论0 条评论)
暂无评论

Copyright © 2012-2014 恰考网 Inc. 保留所有权利。 Powered by tikuer.com

页面耗时0.0486秒, 内存占用1.03 MB, Cache:redis,访问数据库19次