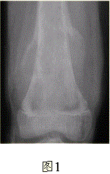
患者男,16岁,左大腿下部疼痛伴肿胀2个月,逐渐加重。自感左膝上方胀痛,尤以夜间为著,伴行走困难。既往史及家族史无特殊。查体:左大腿下部明显肿胀,皮温较对...

作者: rantiku 人气: - 评论: 0
问题 患者男,16岁,左大腿下部疼痛伴肿胀2个月,逐渐加重。自感左膝上方胀痛,尤以夜间为著,伴行走困难。既往史及家族史无特殊。查体:左大腿下部明显肿胀,皮温较对侧升高。碱性磷酸酶明显增高。股骨平片及MRI见下图。 应该首先考虑的诊断为
选项 A.急性化脓性骨髓炎 B.骨结核 C.骨肉瘤 D.畸形性骨炎 E.骨转移瘤 F.软骨肉瘤
答案 C
解析 C

猜你喜欢

发表评论
更多 网友评论0 条评论)
暂无评论

Copyright © 2012-2014 恰考网 Inc. 保留所有权利。 Powered by tikuer.com

页面耗时0.0456秒, 内存占用1.03 MB, Cache:redis,访问数据库19次