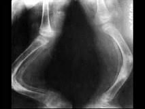
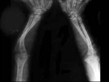
女,2岁,发现蓝色巩膜、听力障碍,四肢畸形等,结合图像,最可能诊断是?(?)A.维生素D缺乏病B.维生素C缺乏症C.软骨发育不全D.呆...

作者: rantiku 人气: - 评论: 0
问题 女,2岁,发现蓝色巩膜、听力障碍,四肢畸形等,结合图像,最可能诊断是?(?)
选项 A.维生素D缺乏病 B.维生素C缺乏症 C.软骨发育不全 D.呆小病 E.成骨不全
答案 E
解析

猜你喜欢

发表评论
更多 网友评论0 条评论)
暂无评论

Copyright © 2012-2014 恰考网 Inc. 保留所有权利。 Powered by tikuer.com

页面耗时0.0399秒, 内存占用1.03 MB, Cache:redis,访问数据库14次