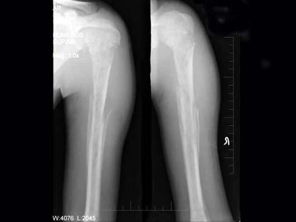
男,15岁,畏寒,高热2周,摄片如图所示,下列诊断正确的是?(?)A.急性化脓性骨髓炎B.慢性化脓性骨髓炎C.溶骨性骨肉瘤D.尤文肉瘤...

作者: rantiku 人气: - 评论: 0
问题 男,15岁,畏寒,高热2周,摄片如图所示,下列诊断正确的是?(?)
选项 A.急性化脓性骨髓炎 B.慢性化脓性骨髓炎 C.溶骨性骨肉瘤 D.尤文肉瘤 E.以上均不正确
答案 A
解析

猜你喜欢

发表评论
更多 网友评论0 条评论)
暂无评论

Copyright © 2012-2014 恰考网 Inc. 保留所有权利。 Powered by tikuer.com

页面耗时0.0416秒, 内存占用1.03 MB, Cache:redis,访问数据库20次