男,67岁,脊髓痨患者,右下肢麻木,右膝关节肿胀,结合图像,最可能的诊断是?(?)A.创伤性关节炎B.退行性骨关节病C.神经性关节病D...

作者: rantiku 人气: - 评论: 0
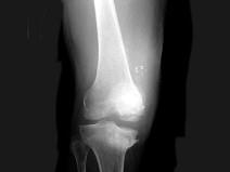
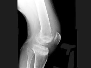
问题 男,67岁,脊髓痨患者,右下肢麻木,右膝关节肿胀,结合图像,最可能的诊断是?(?)
选项 A.创伤性关节炎 B.退行性骨关节病 C.神经性关节病 D.风湿性关节炎 E.痛风
答案 C
解析

猜你喜欢

发表评论
更多 网友评论0 条评论)
暂无评论

Copyright © 2012-2014 恰考网 Inc. 保留所有权利。 Powered by tikuer.com

页面耗时0.0339秒, 内存占用1.03 MB, Cache:redis,访问数据库19次