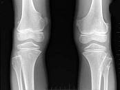
女,15岁,发现大腿远端肿块1周,无明显疼痛,结合图像,最可能诊断是?(?)A.骨质增生B.软骨瘤C.骨肉瘤D.骨瘤E.骨软骨瘤

作者: rantiku 人气: - 评论: 0
问题 女,15岁,发现大腿远端肿块1周,无明显疼痛,结合图像,最可能诊断是?(?)
选项 A.骨质增生 B.软骨瘤 C.骨肉瘤 D.骨瘤 E.骨软骨瘤
答案 E
解析

猜你喜欢

发表评论
更多 网友评论0 条评论)
暂无评论

Copyright © 2012-2014 恰考网 Inc. 保留所有权利。 Powered by tikuer.com

页面耗时0.0383秒, 内存占用1.03 MB, Cache:redis,访问数据库14次