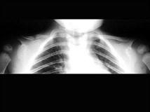
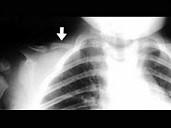
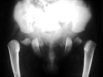
男,2岁,发育迟缓,头颅软,结合图像,最可能的诊断是?(?)A.成骨不全B.颅锁骨发育不全C.马方综合征D.软骨发育不全E.黏多糖病

作者: rantiku 人气: - 评论: 0
问题 男,2岁,发育迟缓,头颅软,结合图像,最可能的诊断是?(?)
选项 A.成骨不全 B.颅锁骨发育不全 C.马方综合征 D.软骨发育不全 E.黏多糖病
答案 B
解析

猜你喜欢

发表评论
更多 网友评论0 条评论)
暂无评论

Copyright © 2012-2014 恰考网 Inc. 保留所有权利。 Powered by tikuer.com

页面耗时0.0642秒, 内存占用1.03 MB, Cache:redis,访问数据库20次