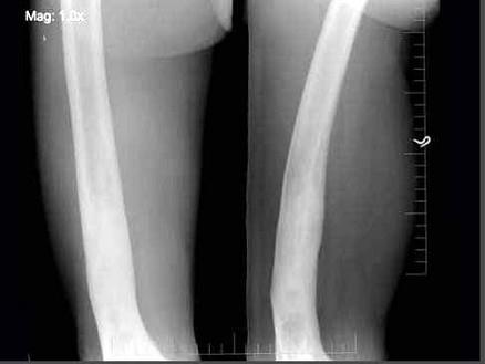
男,58岁,右大腿酸痛,弯曲变形,有外伤史,右股骨摄片如图所示,最可能的诊断是?(?)A.硬化性骨纤维结构不良B.慢性化脓性骨髓炎C.骨质软化...

作者: rantiku 人气: - 评论: 0
问题 男,58岁,右大腿酸痛,弯曲变形,有外伤史,右股骨摄片如图所示,最可能的诊断是?(?)
选项 A.硬化性骨纤维结构不良 B.慢性化脓性骨髓炎 C.骨质软化症 D.慢性硬化性骨髓炎 E.以上均不正确
答案 B
解析

猜你喜欢

发表评论
更多 网友评论0 条评论)
暂无评论

Copyright © 2012-2014 恰考网 Inc. 保留所有权利。 Powered by tikuer.com

页面耗时0.0475秒, 内存占用1.03 MB, Cache:redis,访问数据库19次