男,71岁,背部酸痛,低热,乏力,消瘦2月余,结合影像学表现,最可能的诊断是?(?)A.脊柱转移瘤B.化脓性脊柱炎C.脊椎结核D....

作者: rantiku 人气: - 评论: 0
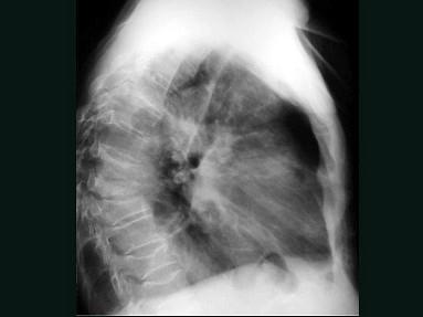
问题 男,71岁,背部酸痛,低热,乏力,消瘦2月余,结合影像学表现,最可能的诊断是?(?)
选项 A.脊柱转移瘤 B.化脓性脊柱炎 C.脊椎结核 D.椎体压缩骨折 E.阻滞椎
答案 C
解析

猜你喜欢

发表评论
更多 网友评论0 条评论)
暂无评论

Copyright © 2012-2014 恰考网 Inc. 保留所有权利。 Powered by tikuer.com

页面耗时0.0497秒, 内存占用1.02 MB, Cache:redis,访问数据库14次