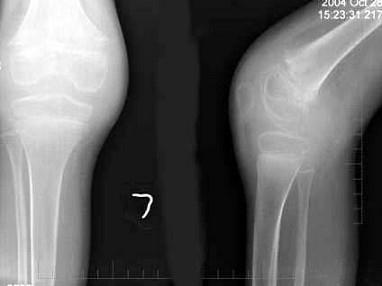
男,10岁,左膝关节反复肿胀,伴低热2年,经抗感染效果不佳,结合图像,最可能诊断是?(?)A.左膝关节结核(滑膜型)B.左膝关节结核(骨型)C...

作者: rantiku 人气: - 评论: 0
问题 男,10岁,左膝关节反复肿胀,伴低热2年,经抗感染效果不佳,结合图像,最可能诊断是?(?)
选项 A.左膝关节结核(滑膜型) B.左膝关节结核(骨型) C.左膝关节结核(混合型) D.左膝化脓性关节炎 E.以上均不正确
答案 A
解析

猜你喜欢

发表评论
更多 网友评论0 条评论)
暂无评论

Copyright © 2012-2014 恰考网 Inc. 保留所有权利。 Powered by tikuer.com

页面耗时0.0445秒, 内存占用1.03 MB, Cache:redis,访问数据库15次