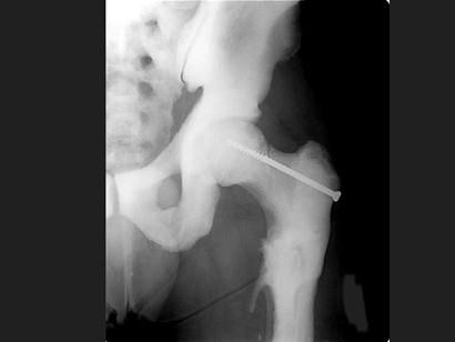
男,37岁,出现多处骨折,结合图像,最可能的诊断是?(?)A.石骨症B.成骨不全C.畸形性骨炎D.转移性骨肿瘤E.氟骨症

作者: rantiku 人气: - 评论: 0
问题 男,37岁,出现多处骨折,结合图像,最可能的诊断是?(?)
选项 A.石骨症 B.成骨不全 C.畸形性骨炎 D.转移性骨肿瘤 E.氟骨症
答案 A
解析

猜你喜欢

发表评论
更多 网友评论0 条评论)
暂无评论

Copyright © 2012-2014 恰考网 Inc. 保留所有权利。 Powered by tikuer.com

页面耗时0.0315秒, 内存占用1.03 MB, Cache:redis,访问数据库18次