男,21岁,手部不慎摔伤,局部疼痛,结合图像,最可能的诊断是?(?)A.大多角骨骨折B.小多角骨骨折C.三角骨骨折D.月骨骨折...

作者: rantiku 人气: - 评论: 0
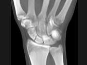
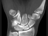
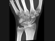
问题 男,21岁,手部不慎摔伤,局部疼痛,结合图像,最可能的诊断是?(?)
选项 A.大多角骨骨折 B.小多角骨骨折 C.三角骨骨折 D.月骨骨折 E.舟状骨骨折
答案 E
解析

猜你喜欢

发表评论
更多 网友评论0 条评论)
暂无评论

Copyright © 2012-2014 恰考网 Inc. 保留所有权利。 Powered by tikuer.com

页面耗时0.0566秒, 内存占用1.03 MB, Cache:redis,访问数据库19次