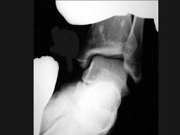
女,27岁,有外伤史,结合图像,最可能的诊断是?(?)A.骨斑点症B.骨梗死C.骨岛D.皮肤骨膜肥厚症E.石骨症

作者: rantiku 人气: - 评论: 0
问题 女,27岁,有外伤史,结合图像,最可能的诊断是?(?)
选项 A.骨斑点症 B.骨梗死 C.骨岛 D.皮肤骨膜肥厚症 E.石骨症
答案 A
解析

猜你喜欢

发表评论
更多 网友评论0 条评论)
暂无评论

Copyright © 2012-2014 恰考网 Inc. 保留所有权利。 Powered by tikuer.com

页面耗时0.0387秒, 内存占用1.03 MB, Cache:redis,访问数据库18次