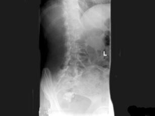
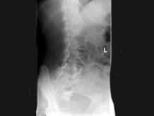
女,47岁,腰背痛并向髋部和下肢放射,结合图像,最可能的诊断是?(?)A.腰5压缩性骨折B.移行椎C.脊椎裂D.腰5椎弓峡部不连E...

作者: rantiku 人气: - 评论: 0
问题 女,47岁,腰背痛并向髋部和下肢放射,结合图像,最可能的诊断是?(?)
选项 A.腰5压缩性骨折 B.移行椎 C.脊椎裂 D.腰5椎弓峡部不连 E.Klipple-Feil综合征
答案 D
解析

猜你喜欢

发表评论
更多 网友评论0 条评论)
暂无评论

Copyright © 2012-2014 恰考网 Inc. 保留所有权利。 Powered by tikuer.com

页面耗时0.0431秒, 内存占用1.03 MB, Cache:redis,访问数据库18次