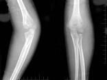
女,6岁,外伤后左肘部肿痛,活动受限,外髁局部压痛,X线摄片如图,最可能的诊断是?(?)A.左肱骨小头骨骺损伤B.左肱骨髁上骨折C.左肱骨外上...

作者: rantiku 人气: - 评论: 0
问题 女,6岁,外伤后左肘部肿痛,活动受限,外髁局部压痛,X线摄片如图,最可能的诊断是?(?)
选项 A.左肱骨小头骨骺损伤 B.左肱骨髁上骨折 C.左肱骨外上髁骨骺损伤 D.左肱骨内髁骨骺损伤 E.左肱骨外髁骨骺损伤
答案 E
解析

猜你喜欢

发表评论
更多 网友评论0 条评论)
暂无评论

Copyright © 2012-2014 恰考网 Inc. 保留所有权利。 Powered by tikuer.com

页面耗时0.0427秒, 内存占用1.03 MB, Cache:redis,访问数据库15次