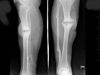
女,48岁,车祸致右胫腓骨骨折,外固定术后两年复查,如图所示,最可能的诊断是?(?)A.右胫骨愈合延迟B.右胫骨假关节形成C.右胫骨骨折愈合好...

作者: rantiku 人气: - 评论: 0
问题 女,48岁,车祸致右胫腓骨骨折,外固定术后两年复查,如图所示,最可能的诊断是?(?)
选项 A.右胫骨愈合延迟 B.右胫骨假关节形成 C.右胫骨骨折愈合好,有大量骨痂形成 D.右胫骨断端不连 E.以上均不正确
答案 A
解析

猜你喜欢

发表评论
更多 网友评论0 条评论)
暂无评论

Copyright © 2012-2014 恰考网 Inc. 保留所有权利。 Powered by tikuer.com

页面耗时0.0337秒, 内存占用1.03 MB, Cache:redis,访问数据库19次