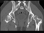
男,23岁,跛行,外展受限,两下肢不等长,结合图像,最可能的诊断是?(?)A.髋关节中心脱位B.髋关节后脱位C.髋关节前脱位D...

作者: rantiku 人气: - 评论: 0
问题 男,23岁,跛行,外展受限,两下肢不等长,结合图像,最可能的诊断是?(?)
选项 A.髋关节中心脱位 B.髋关节后脱位 C.髋关节前脱位 D.先天性髋内翻 E.髋关节结核
答案 B
解析

猜你喜欢

发表评论
更多 网友评论0 条评论)
暂无评论

Copyright © 2012-2014 恰考网 Inc. 保留所有权利。 Powered by tikuer.com

页面耗时0.0323秒, 内存占用1.03 MB, Cache:redis,访问数据库18次