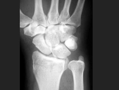
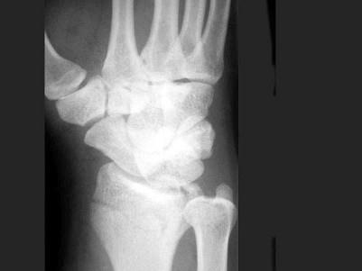
男,22岁,滑冰时摔倒右手撑地时受伤,结合CR片,最可能的诊断是?(?)A.柯莱斯骨折B.蒙泰贾骨折C.加莱阿齐骨折D.桡骨远端骨...

作者: rantiku 人气: - 评论: 0
问题 男,22岁,滑冰时摔倒右手撑地时受伤,结合CR片,最可能的诊断是?(?)
选项 A.柯莱斯骨折 B.蒙泰贾骨折 C.加莱阿齐骨折 D.桡骨远端骨折 E.反柯莱斯骨折
答案 D
解析

猜你喜欢

发表评论
更多 网友评论0 条评论)
暂无评论

Copyright © 2012-2014 恰考网 Inc. 保留所有权利。 Powered by tikuer.com

页面耗时0.0394秒, 内存占用1.03 MB, Cache:redis,访问数据库17次