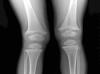
男,6岁,睡眠差、夜惊、多汗、出牙较迟、血清磷减低、血清钙减低、碱性磷酸酶升高,结合图像,最可能诊断是?(?)A.维生素D缺乏病B.骨质软化症...

作者: rantiku 人气: - 评论: 0
问题 男,6岁,睡眠差、夜惊、多汗、出牙较迟、血清磷减低、血清钙减低、碱性磷酸酶升高,结合图像,最可能诊断是?(?)
选项 A.维生素D缺乏病 B.骨质软化症 C.先天性骨梅毒 D.肾性维生素D缺乏病 E.脆骨病
答案 A
解析

猜你喜欢

发表评论
更多 网友评论0 条评论)
暂无评论

Copyright © 2012-2014 恰考网 Inc. 保留所有权利。 Powered by tikuer.com

页面耗时0.0524秒, 内存占用1.02 MB, Cache:redis,访问数据库13次