男,32岁,因车祸致右髋关节肿痛,活动受限摄片如图示,最可能的诊断是?(?)A.骨盆Ⅰ型骨折B.骨盆Ⅱ型骨折C.骨盆Ⅲ型骨折D.骨盆Ⅳ型骨...

作者: rantiku 人气: - 评论: 0
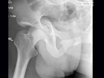
问题 男,32岁,因车祸致右髋关节肿痛,活动受限摄片如图示,最可能的诊断是?(?)
选项 A.骨盆Ⅰ型骨折 B.骨盆Ⅱ型骨折 C.骨盆Ⅲ型骨折 D.骨盆Ⅳ型骨折 E.以上均不是
答案 D
解析

猜你喜欢

发表评论
更多 网友评论0 条评论)
暂无评论

Copyright © 2012-2014 恰考网 Inc. 保留所有权利。 Powered by tikuer.com

页面耗时0.0604秒, 内存占用1.03 MB, Cache:redis,访问数据库18次